Dental Center of Wellington

Reminder: We Have Moved To A New Location.
Our new office is across the street in the Publix shopping center and next to State Farm.

123 S State Rd 7, Suite 205
Royal Palm Beach, FL 33414

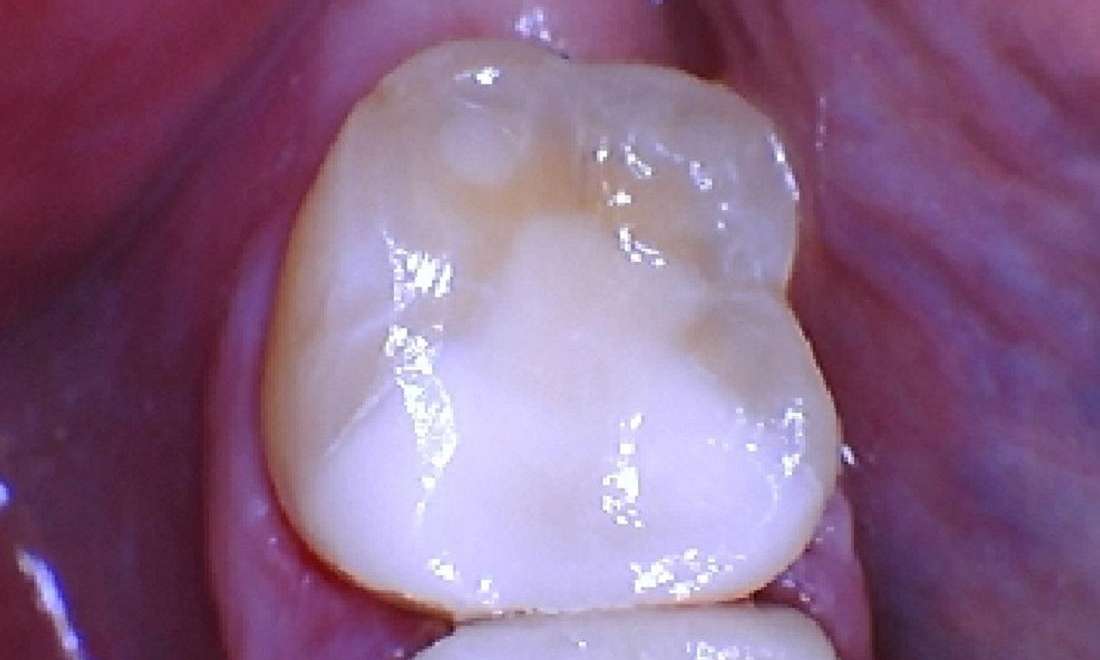
Broken Tooth Repaired White Filling

The patient came to our office with a broken tooth, which was quite concerning. Upon examination, we noticed that the old filling had deteriorated, leaving the tooth exposed and susceptible to further decay. The before photo highlights the damage, showing the cracked surface and the wear around the filling.

To address the issue, we carefully removed the old filling and any decayed material to ensure the tooth was clean and healthy. After the decay was removed, we applied a white filling. This type of filling is designed to bond well with the natural tooth structure, restoring the tooth’s function and blending seamlessly with the surrounding teeth.

In the after photo, the tooth appears smooth and intact, reflecting the successful restoration. The patient can now bite and chew comfortably, knowing that their tooth has been effectively repaired. This case illustrates the importance of addressing dental issues promptly to maintain oral health and preserve the integrity of the teeth.

If you’re experiencing similar issues, a cosmetic dentist can provide solutions like white fillings in Royal Palm Beach that restore both function and aesthetics.

Ready to book an appointment?
If you have difficulty using our website, please email us or call us at (561) 422-1020
View the ADA Accessibility Statement