Smile Gallery
Feeling great about your smile is important. Take a moment to browse through some of our before-and-after photos to see Dr. Steven Bussell's expertise and imagine what is possible for your smile.


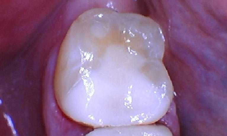
The patient came in with a large cavity right next to the gums, which was causing significant concern. Before treatment, the tooth showed visible decay, affecting both its strength and appearance.
After removing the decay, we restored the tooth using a tooth colored filling. This not only repaired the damage but also seamlessly blended with the surrounding teeth. In the after photo, it’s clear how much of a difference this treatment made—the tooth looks smooth and natural, as if it had never been damaged.
Cosmetic dentist in Royal Palm Beach services like tooth-colored fillings are an excellent choice for restoring ...


We restored the patient's smile using porcelain veneers to address worn, chipped, and discolored teeth. The veneers were custom-crafted to enhance both the shape and color, resulting in a natural-looking, bright, and healthy white smile. This minimally invasive treatment provided a durable and aesthetic solution for long-lasting confidence.


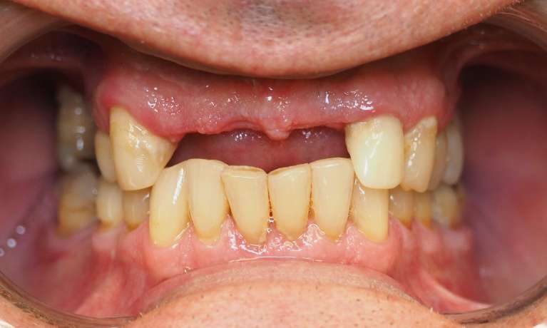
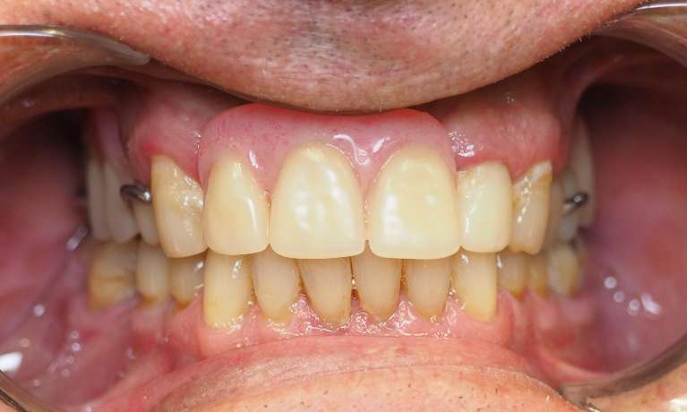
The patient presented with the loss of upper front teeth due to trauma. After evaluation and treatment planning, we proceeded with the placement of two dental implants. Following appropriate healing, a 3-unit fixed implant-supported bridge was fabricated and delivered, restoring function and aesthetics.




Smile makeover with porcelain crowns completed. Patient had extensive decay and broken teeth due to years of neglect. All affected teeth restored with full-coverage porcelain crowns to improve aesthetics, function, and overall smile.


Patient presented with old porcelain fused to metal crowns that were decaying, uneven and unesthetic. Smile makeover was completed by replacing the old crowns with new all porcelain crowns. These changes not only improve the esthetics and patient's confidence but restore the teeth to a healthy state.


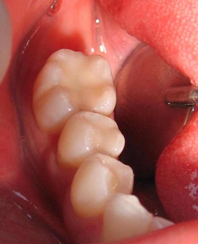
The patient came to our office with a broken tooth, which was quite concerning. Upon examination, we noticed that the old filling had deteriorated, leaving the tooth exposed and susceptible to further decay. The before photo highlights the damage, showing the cracked surface and the wear around the filling.
To address the issue, we carefully removed the old filling and any decayed material to ensure the tooth was clean and healthy. After the decay was removed, we applied a white filling. This type of filling is designed to bond well with the natural tooth structure, restoring the tooth’s function and ...




The patient presented to our implant dentist with failing teeth due to gum disease and severe cavities. We began by removing the remaining teeth, starting with the upper teeth.
On the same day as the tooth extractions in Royal Palm Beach, we fabricated a temporary denture, ensuring the patient left with a functional and esthetic solution. When the lower teeth were extracted, we also placed four dental implants, creating a stable foundation for future restorations.
Once the extractions and implants healed, we crafted new dentures designed to "snap" into the implants. This innovative approach greatly improves retention and function, providing a ...




Patient was missing multiple upper teeth. A cast metal removable partial denture was fabricated to replace missing teeth in front and back of his mouth.
Partial Dentures Before and After
Contact Dental Center of Wellington to discuss your tooth replacement options.


This patient was missing multiple upper teeth, which affected both their smile and ability to eat comfortably. To address this, we created dentures, specifically a removable partial denture, to fill the gaps left by the missing teeth.
In the after photo, the transformation is clear. The new partial denture not only restores the patient’s smile but also improves their chewing ability by replacing teeth in both the front and back of their mouth. This solution offers a natural look and feel while providing the support needed for daily functions.
If you’re facing similar challenges and considering tooth extractions in Royal ...


The patient came in with two large cavities that were causing discomfort and affecting their smile. The before photo clearly shows the extent of the decay, with visible dark spots on the teeth indicating significant damage.
To address the situation, we chose cosmetic bonding as a conservative treatment option. This method allowed us to restore the teeth without resorting to more invasive procedures like root canals or crowns. The after photo highlights the successful outcome, with the teeth appearing smooth, natural, and free from visible decay.
Cosmetic bonding not only repaired the cavities but also enhanced the overall appearance of the teeth, ...


Patient had severely worn and broken front teeth. Patient was also missing most of his back teeth. We reconstructed all the broken front teeth with porcelain dental crowns. We replaced the missing posterior teeth with dental implants and porcelain crowns.


Patient was unhappy with shape and color of upper front 6 teeth. Our cosmetic dentist placed all porcelain dental veneers to enhance patient's smile.


Patient had worn down the teeth on her old dentures. New dentures were made to recreate a beautiful smile.


Porcelain dental crowns were placed on 2 lateral incisor teeth in order to fix the patient's failing dental bondings. The dental crowns improve the esthetics and close the spaces.


Patient fractured front tooth. Broken front tooth was extracted and replaced with a fixed, non-removable bridge.


Patient lost his two front teeth from an accident. Two dental implants were placed and then restored with porcelain dental crowns.
Contact implant dentist Dr. Bussell to schedule a tooth replacement consultation today at Dental Center of Wellington.


Patient had large amalgam fillings with decay underneath. Patient was also unhappy with the dark look of the teeth. The teeth were treated with all-porcelain dental crowns.


Patient was missing a tooth for many years. We placed a dental implant and restored it with porcelain dental crown.
Contact your implant dentist, Dr. Bussell, to schedule a tooth replacement consultation today.


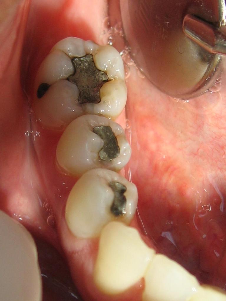
Patient had failing amalgam/silver fillings. The fillings & decay were removed and replaced with white resin/composite dental fillings.


A special lower denture was made to fit around patient's last two remaining teeth to help the denture stay in place. If the patient ever has a problem with those 2 remaining teeth, they can be removed from his mouth and added to that denture. A new denture will not need to be made.


Patient suffered from broken and decayed teeth. All upper teeth were extracted and Dr. Bussell placed immediate full upper dentures.


Patient was unhappy with smile after years of a multiple dental bondings to repair worn teeth. We fixed the patient's smile with individual, all porcelain dental crowns.


Patient came in with hopeless bottom teeth. At the final visit we removed all the bottom teeth and immediately placed full lower dentures on the same day.


Patient had missing tooth replaced with a dental implant and restored with a porcelain dental crown.
Contact Dental Center of Wellington to schedule a tooth replacement consultation with implant dentist, Dr. Bussell.


Patient had cavities on front teeth that were repaired with tooth-colored resin dental fillings.


Patient lost a silver filling. After the decay was removed we placed a white resin composite dental filling.
Amalgam/silver fillings replaced with white resin/composite dental fillings.


Patient had a failing composite filling. The edges were debonding with decay & the tooth had a small chip towards the back. We removed the original filling & decay. It was restored with a new white resin composite filling.




Patient had four extractions, two root canal procedures, and a six unit fixed bridge to repair his front teeth. Patient was able to wear a temporary bridge so he never had to walk around with any missing teeth while treatment was finalized.
Ten upper extractions, followed by immediate same-day dentures placement.


Upper extractions, followed by immediate same-day dentures placement.


Patient presented with infection on his front teeth and missing back teeth. Six extractions were performed, followed by immediate same-day denture placement.


Multiple upper and lower extractions were followed by immediate full upper denture and partial bottom dentures placed on the same day.
Partial Dentures Before and After
Contact Dr. Bussell at Dental Center of Wellington to discuss your tooth replacement options today.
Patient had six damaged and crooked teeth extracted. Natural-looking denture placement was held the same day to fill in missing and extracted teeth. Dentures were made to perfectly match patient's existing white tooth color.


Patient's crooked and damaged upper teeth were extracted to make room for upper dentures. Patient received denture placement that same day.
This Royal Palm Beach adult patient received orthodontic treatment for gapped teeth. The use of Invisalign clear aligners helped to straighten and properly align tooth gaps. Professional teeth whitening helped to create a brighter smile. Minimal treatment for an amazing smile makeover!


Patient had stained and yellowed teeth that were otherwise in great shape. Professional teeth whitening brightened this patient's smile in just one day.
Patient had some mild staining and yellowing. Teeth whitening brightened this patient's smile in just one day!