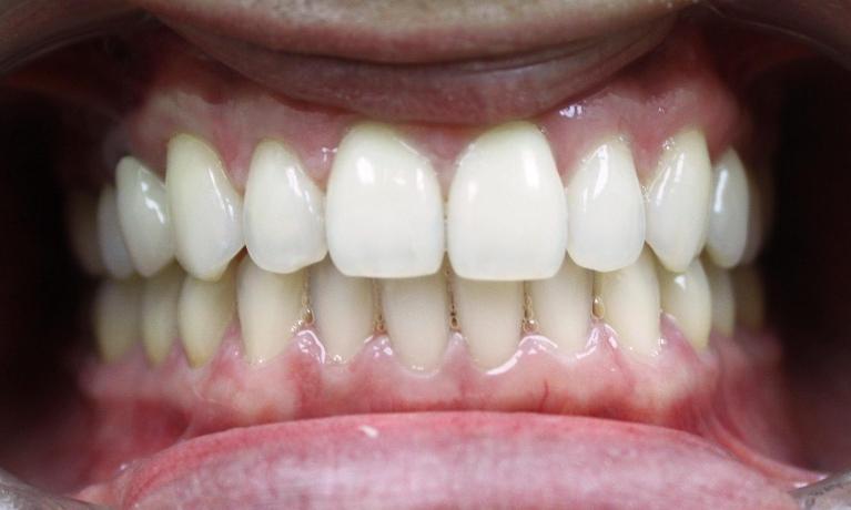
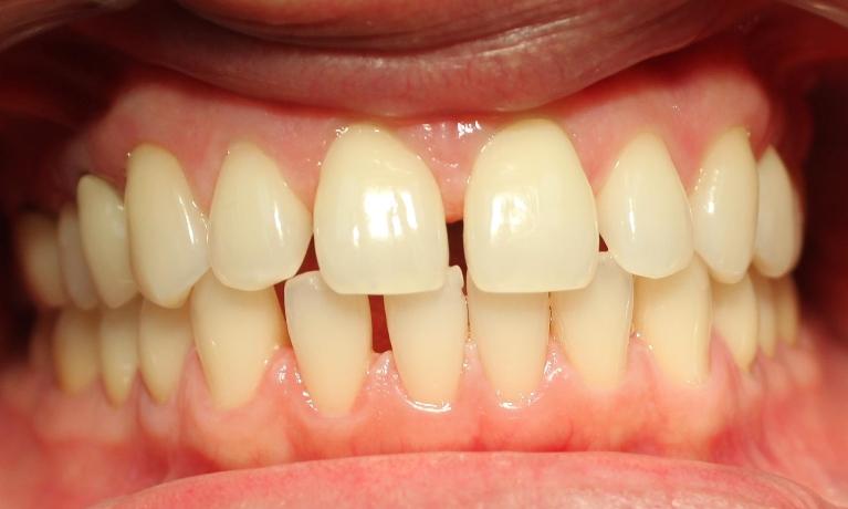
Tips for Success with Invisalign
It’s important to follow Dr. Bussell’s recommendations for Invisalign treatment to get the best results on your treatment timeline:
- Wear your aligners for at least 22 hours per day.
- Keep them clean with a mild cleanser and lukewarm water.
- Be sure to keep regular appointments to monitor your progress.
- Notify us right away if you lose or damage your aligners.
- Don’t drink soda or acidic liquids while wearing aligners.
- Maintain good oral hygiene.
- Avoid leaving aligners in a hot car.
- Make it a habit of putting aligners in a case, don’t put them in your pocket or a napkin.
- Keep your Invisalign braces away from pets – they like to chew on them.
- As with all orthodontic treatment, wearing a retainer will keep your teeth in place as your bone adjusts to the new location for teeth. At first, we will typically recommend wearing a retainer for most of the day, and then you can graduate to nighttime only wear.
Is Invisalign Right for Me?
At Dental Center of Wellington, we provide a full spectrum of dental options for our patients based on their unique smile needs. Dr. Bussell will be able to help you determine which dental procedures are right for you.
Your Royal Palm Beach, FL dentist is highly trained and experienced with the different types of oral devices that can move your teeth and align your jaws. Based on your lifestyle, smile goals, and oral needs, we make sure that your dental treatments are perfect for you. There may be some instances when traditional metal braces are recommended instead of invisible braces.
Your first dental appointment with Dr. Bussell will determine if you are a good candidate and if invisible braces are the right orthodontic procedure for your smile. During your first dental examination, your dentist will educate you on your dental options that fit with your budget and oral needs in Royal Palm Beach, Wellington, West Palm Beach, and more.
Would You Like a Straighter Smile in the Royal Palm Beach Area?
If you are tired of hiding your smile in photos or wishing you could have straighter teeth, contact Dental Center of Wellington today to learn more about Invisalign. Our dental office is conveniently located in Royal Palm Beach, FL, and we look forward to helping you achieve the smile of your dreams with modern orthodontic treatment. Invest in your smile and your oral health today!