Dental Center of Wellington

Invisible Aligners and Teeth Whitening

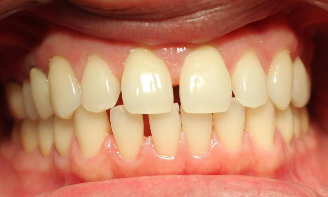
This Royal Palm Beach adult patient received orthodontic treatment for gapped teeth. The use of Invisalign clear aligners helped to straighten and properly align tooth gaps. Professional teeth whitening helped to create a brighter smile. Minimal treatment for an amazing smile makeover!

Have Questions? Get in Touch
If you have difficulty using our website, please email us or call us at (561) 422-1020