Dental Center of Wellington

Reminder: We Have Moved To A New Location.
Our new office is across the street in the Publix shopping center and next to State Farm.

123 S State Rd 7, Suite 205
Royal Palm Beach, FL 33414

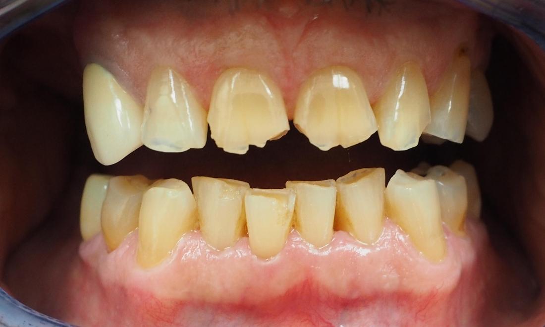
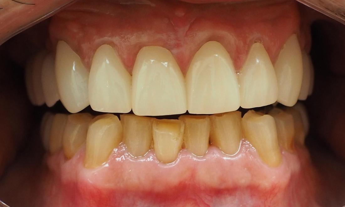
All Porcelain Crowns & Implants

Patient had severely worn and broken front teeth. Patient was also missing most of his back teeth. We reconstructed all the broken front teeth with porcelain dental crowns. We replaced the missing posterior teeth with dental implants and porcelain crowns.

Getting an appointment is fast and easy!
If you have difficulty using our website, please email us or call us at (561) 422-1020